Złamanie V kości śródstopia – diagnoza i zabiegi rehabilitacyjne
Spis treści
- 1 Objawy złamania 5 kości śródstopia
- 2 Leczenie złamania 5 kości śródstopia
- 3 Rehabilitacja po złamaniu 5 kości śródstopia
- 4 Jeśli złamałeś 5 kość śródstopia
- 5 Jak przyspieszyć gojenie 5 kości śródstopia?
- 6 Jakie badania na złamanie 5 kości śródstopia?
- 7 Jak przyspieszyć gojenie 5 kości śródstopia?
- 8 Jakie badania na złamanie 5 kości śródstopia?
- 9 Złamania 5 kości śródstopia bez gipsu
- 10 Ćwiczenia po złamaniu 5 kości śródstopia
- 11 Złamanie 5 kości śródstopia u dziecka
- 12 Najczęściej zadawane pytania (FAQ)
- 12.1 Jak długo zrasta się 5 kość śródstopia?
- 12.2 Kiedy można zacząć chodzić po złamaniu kości śródstopia?
- 12.3 Czy można ruszać palcami przy złamaniu śródstopia?
- 12.4 Ile zwolnienie po złamaniu kości śródstopia?
- 12.5 Jak dbać o złamanie kości śródstopia?
- 12.6 Ile puchnie noga po złamaniu kości śródstopia?
- 12.7 Jakie buty po złamaniu kości śródstopia?
- 12.8 Jak leczyć złamanie piątej kości śródstopia?
- 12.9 Złamanie V kości śródstopia – Bibliografia
- 13 Nie czekaj z rehabilitacją!
Złamanie piątej kości śródstopia to często spotykany uraz w obrębie stopy, który może dotknąć zarówno osoby aktywne fizycznie, jak i te prowadzące siedzący tryb życia. Jego przyczyną mogą być nagłe przeciążenia, nieprawidłowe ustawienie stopy czy powtarzające się mikrourazy, występujące np. podczas intensywnych treningów sportowych. W niniejszym tekście omówimy najczęstsze objawy tego rodzaju złamania, metody diagnostyki, sposoby leczenia, a także znaczenie rehabilitacji oraz elementy profilaktyki wspomagające szybki i bezpieczny powrót do pełnej sprawności.
Objawy złamania 5 kości śródstopia
Podstawowym objawem złamania piątej kości śródstopia jest ból po zewnętrznej części stopy. W miejscu, gdzie znajduje się ta kość może pojawić się obrzęk oraz zaczerwienienie.
W tym obszarze może dojść do nagłego złamania V kości śródstopia w wyniku skręcenia kostki lub nieprawidłowego jej ustawienia np. podczas schodzenia ze schodów. Ból pojawia się wtedy od razu w momencie zdarzenia.

Drugim rodzajem złamania w tym miejscu jest złamanie zmęczeniowe 5 kości śródstopia. Jest ono spowodowane sumowaniem się przeciążeń w tym miejscu. Ból narasta wtedy stopniowo w dłuższej perspektywie czasowej.
Leczenie złamania 5 kości śródstopia
Złamanie 5 kości śródstopia zazwyczaj jest dobrze widoczne i potwierdzane zdjęciu RTG. W przypadku niejasnego obrazu dla potwierdzenia czasami wykonuje się badanie rezonansem magnetycznym. Złamania zmęczeniowe V kości śródstopia mogą być szczególnie trudne w jednoznacznej ocenie.
Przy potwierdzeniu takiego złamania zakładane jest usztywnienie tego miejsca w postaci gipsu. Możliwe jest również leczenie złamania 5 kości śróstopia bez gipsu z wykorzystaniem buta ortopedycznego. Unieruchomienie trwa zazwyczaj około 6 tygodni. W przypadku dzieci może trwać nieco krócej.
Drugim etapem leczenie złamanie piątej kości śródstopia jest rehabilitacja. Dzięki niej noga odzyska swoją siłę oraz odpowiednią ruchomość po unieruchomieniu. Brak rehabilitacji może mieć negatywne konsekwencję w postaci bólu samej stopy albo stawów powyżej, czyli kolana i biodra.

Rehabilitacja po złamaniu 5 kości śródstopia
Stopa oraz cała noga po 6 tygodniach unieruchomienia będzie osłabiona. Może również dojść do ograniczenia pełnego ruchu. W związku z tym konieczna będzie rehabilitacja, aby ją wzmocnić oraz odzyskać zakres ruchu. Brak rehabilitacji może skutkować problemami w przyszłości zarówno w stopie jak i w stawach położonych wyżej, czyli kolanie lub biodrze. Stopa jest naszą podporą, więc musi być silna, stabilna oraz odpowiednio ruchoma.
Rehabilitacja po złamaniu 5 kości śródstopia polega na masażu mięśni w okolicy stopy i łydki oraz odpowiednim ćwiczeniom. Masaż będzie zmniejszał ból oraz obrzęk w stopie. Dzięki ćwiczeniom stopa i cała noga powinna być coraz silniejsza. Rehabilitacja pomoże również odbudować pełen ruch w stopie oraz kostce.
3 ćwiczenia po złamaniu 5 kości śródstopia
W rehabilitacji wykorzystujemy też element niestabilnego podłoża np. stanie na miękkiej macie lub berecie rehabilitacyjnym jako ćwiczenia stabilizacyjne.
Jeśli jesteś sportowcem lub osobą aktywną powinieneś przejść jeszcze jeden etap rehabilitacji. Tym etapem rehabilitacji są skoki na nogę, która była złamana. Skoki powinny być wprowadzane stopniowo rozpoczynając od skoków obunóż, a dopiero potem jednonóż. W dalszych etapach w przypadku sportowców dokładamy przeskoki przez przeszkody np. płotki.
Jeśli złamałeś 5 kość śródstopia
Jak przyspieszyć gojenie 5 kości śródstopia?
Fizjoterapia może przyspieszyć gojenie się 5 kości śródstopia. Poprzez wykonanie odpowiednio masażu łydki, uda oraz biodra jesteśmy w stanie przyspieszyć przepływ krwi oraz limfy w nodze co przełoży się na lepsze ukrwienie oraz odżywienie złamanej kości.
To natomiast przełoży się bezpośrednio na szybszy zrost kostny w okolicy złamania.
Dodatkowo wprowadzenie odpowiednich ruchów lub ćwiczeń może przyspieszyć powrót do sprawności lub treningów po ściągnięciu gipsu lub usztywnienia. Dzięki temu siła mięśni w całej nodze nie będzie, aż tak osłabiona i będzie startować z wyższego poziomu w momencie, gdy będziemy mogli już obciążać nogę.
Odpowiednia dieta powinna przyspieszyć gojenie się kości. Dobrze, gdyby zawierała ona produkty bogate w białko, aby kość miała budulec by się odbudować.
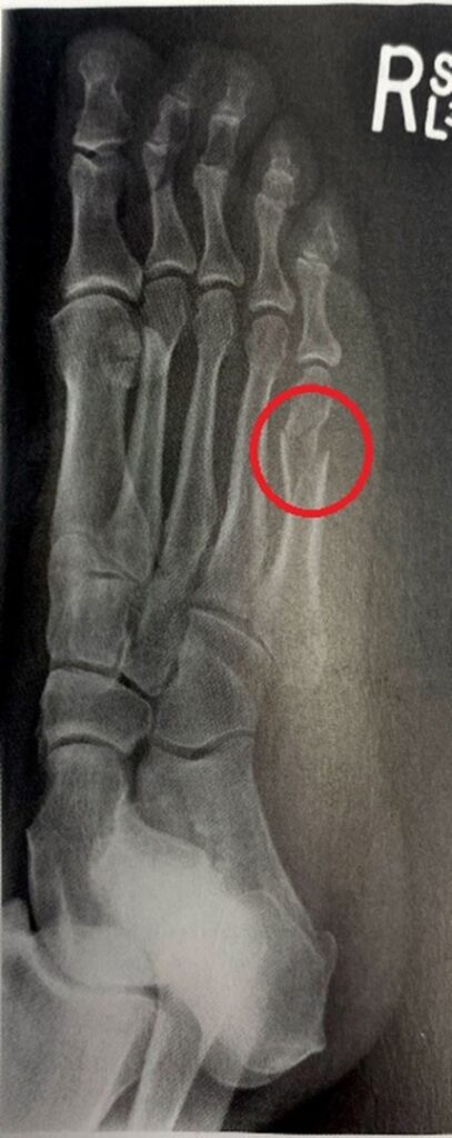
Jakie badania na złamanie 5 kości śródstopia?
Podstawowym badaniem potwierdzającym złamanie V kości śródstopia jest RTG.
W przypadkach złamań zmęczeniowych zdarza się, że obraz RTG nie daje odpowiedzi czy kość jest złamana. W tym przypadku zaleca się wykonanie rezonansu magnetycznego stopy.
Jak przyspieszyć gojenie 5 kości śródstopia?
Fizjoterapia może przyspieszyć gojenie się 5 kości śródstopia. Poprzez wykonanie odpowiednio masażu łydki, uda oraz biodra jesteśmy w stanie przyspieszyć przepływ krwi oraz limfy w nodze co przełoży się na lepsze ukrwienie oraz odżywienie złamanej kości.
To natomiast przełoży się bezpośrednio na szybszy zrost kostny w okolicy złamania.
Dodatkowo wprowadzenie odpowiednich ruchów lub ćwiczeń może przyspieszyć powrót do sprawności lub treningów po ściągnięciu gipsu lub usztywnienia. Dzięki temu siła mięśni w całej nodze nie będzie, aż tak osłabiona i będzie startować z wyższego poziomu w momencie, gdy będziemy mogli już obciążać nogę.
Odpowiednia dieta powinna przyspieszyć gojenie się kości. Dobrze, gdyby zawierała ona produkty bogate w białko, aby kość miała budulec by się odbudować.
Jakie badania na złamanie 5 kości śródstopia?
Podstawowym badaniem potwierdzającym złamanie V kości śródstopia jest RTG.
W przypadkach złamań zmęczeniowych zdarza się, że obraz RTG nie daje odpowiedzi czy kość jest złamana. W tym przypadku zaleca się wykonanie rezonansu magnetycznego stopy.
Złamania 5 kości śródstopia bez gipsu
Nie wszystkie złamanie piątej kości śródstopia musi kończyć się założeniem gipsu. Zdecydowanie wygodniejszym rozwiązaniem dla pacjenta jest zastosowanie sztywnego buta ortopedycznego. But ma w środku poduszki, które wypełniają się powietrzem, dzięki czemu stopa jest dobrze ustabilizowana i nie zachodzi w niej ruch.
But jest wygodniejszym rozwiązaniem, ponieważ możemy ściągać go do mycia stopy lub spania. Jeśli go zastosujemy w przypadku złamań piątej kości śródstopia dochodzi do mniejszych zaników mięśniowych i rehabilitacja trwa krócej w porównaniu do zastosowaniu gipsu.
Ćwiczenia po złamaniu 5 kości śródstopia
Oto ćwiczenia, jakie najczęściej wykonujemy z naszymi pacjentami w pierwszym etapie po ściągnięciu unieruchomienia.
Złamanie 5 kości śródstopia u dziecka
Złamanie piątej kości śródstopia u dzieci najczęściej występuje podczas aktywności fizycznej lub zabaw, które obciążają stopę. Leczenie tego rodzaju urazów jest zbliżone do postępowania stosowanego u dorosłych i obejmuje unieruchomienie oraz rehabilitację.
U dzieci proces gojenia zazwyczaj przebiega szybciej, a czas potrzebny na pełną rehabilitację jest krótszy w porównaniu do dorosłych, dzięki lepszej regeneracji tkanek w młodym wieku.
Najczęściej zadawane pytania (FAQ)
Jak długo zrasta się 5 kość śródstopia?
5 kość śródstopia zrasta się zazwyczaj w ciągu tygodni. U dzieci czas ten może być nieco szybszy. U osób dorosłych, u których występują choroby współistniejące czas ten może być dłuższy.
Kiedy można zacząć chodzić po złamaniu kości śródstopia?
Jeśli od złamania minęło około 6-8 tygodni i na kontrolnym zdjęciu RTG widać zrost kostny to możesz chodzić i normalnie obciążać nogę. Zdarza się, że po unieruchomieniu chodzenie może być mało komfortowe lub bolesne. Pomocna jest wtedy rehabilitacja, której zadaniem jest wzmocnić osłabione mięśnie, odzyskać normalny zakres ruchu oraz zmniejszyć obrzęk.
Czy można ruszać palcami przy złamaniu śródstopia?
Niektóre ścięgna mięśni palców stopy przechodzą przez kości śródstopia, dlatego ruszanie palcami może wywoływać ból lub dyskomfort przy złamaniu 5 kości śródstopia. Jednak zwyczajne ruchy wykonywane palcami stopy nie powinny mieć wpływu na gojenie się złamania.
Ile zwolnienie po złamaniu kości śródstopia?
Długość zwolnienia lekarskiego (L4) po złamaniu 5 kości śródstopia zależy od rodzaju wykonywanej pracy. W przypadku pracy biurowej, po zdjęciu usztywnienia zazwyczaj nie ma przeszkód, aby wrócić do obowiązków zawodowych. Natomiast osoby wykonujące pracę fizyczną będą musiały przejść rehabilitację po zdjęciu gipsu, co może wydłużyć czas trwania L4. Ostateczny okres zwolnienia zależy od przebiegu leczenia oraz zdolności pacjenta do powrotu do pełnej sprawności.
Jak dbać o złamanie kości śródstopia?
Rehabilitacja po złamaniu 5 kości śródstopia może rozpocząć się nawet, jeśłi masz gips lub nosisz but ortopedyczny. Poprzez odpowiedni masaż możemy usprawnić krążenie krwi oraz limfy w nodze co przełoży się na lepsze ukrwienie i odżywienie miejsca złamania. Dzięki temu kość powinna szybciej się zrastać.
Jeśli jesteś sportowcem i masz złamaną 5 kość śródstopia to możesz wykonywać ćwiczenia wzmacniające nogę, które nie będą angażowały miejsca złamania. Dzięki temu spadek mięśni będzie mniejszy i szybciej będziesz mógł wrócić do treningów. Ćwiczenia również zapewnią lepsze ukrwienia i odżywienie w miejscu złamania.
Ile puchnie noga po złamaniu kości śródstopia?
Po złamaniu kości śródstopia noga może puchnąć jeszcze przez kilka tygodni po zdjęciu usztywnienia. Obrzęk wynika z osłabienia mięśni, ograniczonego zakresu ruchu oraz zaburzonego przepływu limfy w stopie. Aby złagodzić te objawy i przyspieszyć regenerację, zalecana jest rehabilitacja. Ćwiczenia poprawiają krążenie, wzmacniają mięśnie i stopniowo przywracają pełną ruchomość stopy. Regularna fizjoterapia znacząco przyczynia się do skrócenia czasu powrotu do pełnej sprawności.
Jakie buty po złamaniu kości śródstopia?
Po złamaniu kości śródstopia nie ma konkretnych wymagań odnośnie butów. Ważne, aby nie było one zbyt ciasne, ponieważ ucisk w miejscu złamania może powodować ból lub dyskomfort. Zbyt ciasne obuwie będzie również ograniczać krążenie krwi i przepływ limfy co może powodować powstawanie obrzęków.
Jak leczyć złamanie piątej kości śródstopia?
Leczenie złamania piątej kości śródstopia rozpoczyna się od diagnostyki przeprowadzonej przez ortopedę, zwykle na podstawie zdjęcia rentgenowskiego. Podobnie jak w przypadku wyboru odpowiedniego ważna jest dokładna analiza i trafna decyzja już na samym początku. Następnie stosuje się unieruchomienie w postaci gipsu lub buta ortopedycznego na okres 6-8 tygodni, co umożliwia prawidłowe zrośnięcie się kości.
Po zdjęciu usztywnienia konieczna jest rehabilitacja, która odgrywa kluczową rolę w powrocie do pełnej sprawności. Ćwiczenia rehabilitacyjne poprawiają krążenie, wzmacniają osłabione mięśnie i stopniowo przywracają pełen zakres ruchu w stopie. Dzięki temu proces leczenia jest kompleksowy i skuteczny.
Złamanie V kości śródstopia – Bibliografia
Ortopedia Duttona – Mark Dutton – 2024
Traumatologia narządu ruchu dzieci i młodzieży – Jarosław Czubak – 2024
Musculoskeletal Anatomy, 2nd Edition – Robert B. Salter
Nie czekaj z rehabilitacją!

Pomagam młodym sportowcom z bólem kolan wrócić na boisko, nawet jeśli trenują codziennie. Na co dzień wspieram młodych sportowców, którzy odczuwają ból podczas treningu lub chcą wrócić do zajęć sportowych po skręceniu lub złamaniu. Pomagam również aktywnym dorosłym, którzy chcą na przykład biegać, grać w tenisa i jeździć na rowerze bez dyskomfortu lub bólu.